


Tim Brakefield, Ocularist
Tim’s educational background began at Samford University in Birmingham, AL. As an undergraduate he studied abroad in London and Belize. His BA was earned at the University of Alabama Birmingham. He continued his education with the American Society of Ocularists. With over twenty-five years experience as professionally trained Ocularist and life-long artist, Tim applies his passion for the arts to craft visually stunning and highly realistic prosthetics for our patients.
He began his career in Ocularistry with the Cox Family, throughout the Southeast with practices in the following areas:
Under his leadership, our team of dedicated professionals work tirelessly to deliver peace of mind and trust that the end result will provide the comfort, beauty and the confidence they seek.
Locations throughout the Carolinas:
South Carolina:
o Greenville
North Carolina:
o Wilmington
o Asheville
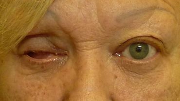
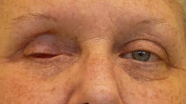
Do ocular prosthetics move?
The movement of the eye is not going to track 100% with your companion eye. The motility of the prosthetic eye is possible by the rectus muscles wrapped around the orbital implant working in unison with the companion eye.
The measurement of the prosthetic eye’s motility over the orbital implant depends on various factors, such as your preoperative condition and postoperative recovery.
Does health insurance cover ocular prosthetics?
Important Notice Regarding Insurance Billing
Due to increasingly stringent regulations and overwhelming administrative burdens placed on the Durable Medical Equipment (DME) industry by insurance carriers and government programs, small specialized practices like ours can no longer absorb the enormous time, staffing, and financial resources required to file, appeal, and manage insurance claims on behalf of patients.
We no longer file insurance claims for our patients.
Instead, we provide comprehensive documentation and personalized guidance to help you file your own claims directly with your insurance company. We are happy to assist you by reviewing your coverage and answering questions to the best of our ability. However, it is ultimately your responsibility to contact your insurance provider directly to confirm that all services are covered and to verify whether prior authorization or any other specific requirements apply to your particular policy before your appointment.
We appreciate your understanding as we focus on delivering the highest quality care while navigating these challenging industry changes.
Our practice specializes in custom artificial eyes, which are billed as Durable Medical Equipment (DME). We file insurance claims only with Medicaid and certain managed-care carriers. For all other insurance plans, you are responsible for full payment at the time of service.
We will assist you as much as possible in navigating the complexities of medical insurance by answering questions, supplying necessary documentation, and explaining the claims process. In the end, however, it is your responsibility to verify your specific plan’s coverage, including whether ocular prosthetics/DME are a covered benefit, any requirements for prior authorization, referrals, deductibles, copayments, coinsurance, or out-of-network limitations. Coverage can vary widely even within the same carrier, and failure to obtain required authorizations may result in full denial of the claim. We strongly recommend that you contact your insurance carrier before your appointment to confirm benefits and obtain any necessary approvals. We will gladly provide a detailed itemized receipt (superbill) so that you may file for reimbursement directly with your carrier if your plan permits out-of-network benefits.
Our custom ocular prosthetics are backed by a 60-day warranty from the date of final delivery. This warranty covers repair or replacement due to manufacturing defects or adjustments. After 60 days, any modifications, repairs, or replacements will be billed at our standard fees. Please note that normal wear, loss, or damage caused by patient handling is not covered under the warranty.
All balances, including patient-responsibility portions after insurance processing, are due within 30 days of receipt of your explanation of benefits (EOB). We accept cash, check, credit cards, Venmo, and HSA/FSA payments.
Thank you for choosing our practice — we are committed to transparency and supporting you through every step of your care.
How long does an ocular prosthesis last?
Most people will need a replacement anywhere from 3-5 years. Socket tissue can change over time causing movement, lid drooping, and poor fitting of the prosthesis. Replacement of shells is also recommended for the same time frame. Shrinking of the eye or settling of the tissue can cause the same effects.
How often should a prosthetic eye be polished?
Cleaning the eye removes external coats of dried mucus from the surface of the prosthetic eye. Also, the removal of these deposits that would be touching the inter-palpebral zone of the socket enables the eyelids to close smoothly and help prevent adverse reactions like GPC (giant papillary conjunctivitis). This is recommended and should be done on a regular basis. Depending on the patient's environment, once every six months to a year is usually sufficient.
How often should I remove my prosthetic eye?
When a prosthetic eye is removed and reinserted, it is certain that the micro-environment of the socket is disturbed to some extent. The main signs of the socket’s response to this procedure are conjunctival irritation and extreme mucus discharge.
Will the eye socket still have normal tear flow?
Surgery to remove your eye usually doesn’t affect the body’s ability to lubricate the socket creating natural tears. Although the ocular prosthesis is made of hard acrylic plastic which doesn’t hold lubrication easily, this sometimes causes an overproduction of tears. Tearing and mucous are significantly affected by the patient’s environment and health. Some examples of this include allergies, working in dusty environments, air conditioning or fans directly hitting the area of the socket.
Should I lubricate my prosthetic eye?
The ocular prosthesis is made of a hard acrylic substance not able to absorb the moisture or natural tears as fast as your natural conjunctiva, causing them to evaporate on the surface. Also, if eyelid function is limited, dry eye could be a problem requiring the use of artificial lubricants. Consult with your ocularist and ophthalmologist if you have any questions or concerns.
Should I wear protective eyewear?
With the removal of an eye, you are only monocular in site so it is highly recommended that you wear a pair of glasses with shatterproof polycarbonate lenses. Even if no prescription is required in the companion eye, glasses are an exceptional means of protection.

The following are a few guidelines recommended for the continuing care and hygiene of your socket and prosthesis:
· Lubricating drops that are used in the companion eye are often used on the prosthetic eye as well. Everyone’s environment and situation are different so each person's preferences for drop consistency will be unique as well. As each situation is unique, it is up to each patient to experiment with what works for them within the suggested time to determine which one reduces tearing and discharge the most effectively.
· It is important that socket and eyelid hygiene is maintained even though your prosthesis is not removed very often. You may need to clean your socket with saline solution and ensure that your eyelashes are clean and clear of matter build-up, but no special procedures are necessary as a rule.
· Outside elements can also play a role in discharge and matter build-up. Smoking will impact tissue irritation in the socket as well as allergies, dusty environments at work, and time of year.
· Every day, more deposits build up on the prosthetic eye. This film coating contains tear proteins, lipids, and mucins, and while they are beneficial in the short to medium term, over time they can accumulate on the front of the prosthesis and can dry out and become rough. Contamination with microorganisms, metabolic waste, and environmental debris can also occur with this build-up over time.
· Your prosthesis should be professionally cleaned and polished at least once a year if not twice. Even if the eye looks smooth and shiny, microscopic scratches on the anterior surface can attract more deposits which can dry out and irritate the eyelids. No matter how diligent you are with your cleaning routine, you cannot recreate a professional optical-quality finish. This visit to your ocularist helps you stay ahead of hardened matter build-up on your prosthesis as well as providing the opportunity to assess socket health.

GB Ocular Prosthetics will seek to provide our patients with the highest quality ocular prosthetic service. We specialize in the fabricating and fitting of custom-made ocular prosthetics (artificial eyes). We recognize the value of every patient’s need and are guided by our commitment towards precision, natural beauty, and excellence.
We demonstrate this by:
Our mission is accomplished only when all of these objectives have been met and our product has gone unnoticed by others!
With Satelite Offices located in Asheville NC. and Wilmington NC.
Please call to set up an appointment to come see us.
355 Woodruff Rd Suite 405, Greenville, SC. 29607
Appointment Only